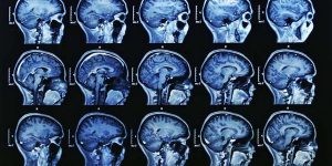
Dlja chego ispol’zuetsja MRT 13 Сен 2017, 13:33 15 0 Для чего используется МРТ Предыдущая новость Что такое МРТ Следующая новость Вам также может быть интересно Пособие по беременности и родам: финансовая поддержка государства Совместный трекер цикла: как технологии помогают партнерам лучше понимать друг друга Куда сходить с детьми в Москве на новогодние праздники Аэройога на гамаках: новый взгляд на йогу Как выбрать идеальные серьги? Где лучше всего купить виллу в Дубае? Поселок Гринфилд в Новой Риге Лечение суставов и позвоночника: здоровье опорно-двигательного аппарата Распространенные хирургические операции в ЛОР-отделениях Профессиональная косметика Уходовые процедуры для лица Моторюкзаки
Комментарии 0